Por qué elegir Avila Rayos X ?
Prestamos y ofrecemos los mejores servicios de salud, orientados a la satisfacción de las necesidades de nuestros clientes, a través de la excelencia en la atención integral.
Prestamos y ofrecemos los mejores servicios de salud, orientados a la satisfacción de las necesidades de nuestros clientes, a través de la excelencia en la atención integral.
Contamos con un equipo humano altamente capacitado e identificado en todas las áreas.
Ofrecemos una excelencia en la prestación servicios radiológicos generales y especializados, accesibles al mayor número de usuarios, con lineamientos éticos y humanísticos orientados hacia éstos.
Entregamos resultados confiables y oportunos para contribuir al bienestar del paciente.
En nuestro servicio contamos con diferentes áreas
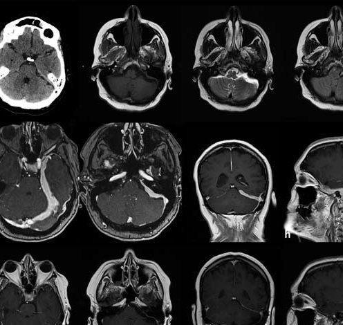
El Departamento de Radiología de Avila Rayos X contamos con un completo sistema de digitalización de imágenes diagnósticas, confiable para los estudios de radiología convencional, tomografía, resonancia y estudios especiales el cual permite que la lectura de los estudios sea más oportuna.
El Departamento de Radioterapia de Avila Rayos X contamos con equipos de alta tecnología con lo que se aplican tratamientos para cáncer donde se utilizan altas dosis de radiación para destruir células cancerosas y reducir tumores.
El Departamento de Quimioterapia de Avila Rayos X realizamos los tratamientos farmacológicos con sustancias químicas fuertes que destruyen las células de crecimiento rápido en el cuerpo, donde se utiliza con frecuencia para tratar el cáncer, ya que las células cancerosas crecen y se multiplican mucho más rápido que la mayoría de las células del cuerpo.
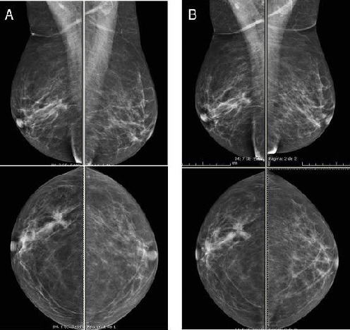
El Departamento de la Unidad de la Mujer de Avila Rayos X se realizan estudios de mamografía con la última tecnología de tomosíntesis, ultrasonidos o ecos mamarios y densitometría Ósea. También hacen Ecos de Tiroides, Trasvaginal, abdominal, abdominopélvico y Biopsias de Mama guiadas por estereotaxia y por eco.
* Asistir con cuatro (04) horas de ayuna como mínimo.
* Traer exámenes de laboratorio de urea y creatinina en sangre, menores a un mes, orden médica o informe médico.
• Angiografía cerebral • Cistografía Miccional • Colón por enema • Esófago, estómago y duodeno
• Histerosalpingografía • Psialografía • Uretrocistografía • Urografía de eliminación
Aceptamos todo tipo de pagos en Bolívares o moneda extranjera (Dólares o Euros).
Los resultados tienen un periodo de entrega mínimo de veinticuatro (24) horas, dependiendo del caso y el especialista radiólogo que este de turno.
El informe es enviado por correo electrónico al momento que son aprobados por el médico radiólogo, las imágenes de tomografía y resonancia si deben ser retirados en la taquilla y el estudio seran entregados en un CD.
Nuestro servicio está integrado por médicos radiólogos especialistas para realizar diagnósticos precisos, para beneficiar al paciente como a su médico tratante.
6ta Transversal de Altamira con Avenida San Juan Bosco, Edificio Clínica El Avila
Estamos en el Sotano 1
direccion@avilarx.com
.
.
0212 - 276.10.31 / 16.59
0212 - 276.15.55 / 25.58
Los 365 dias del año
24 Horas - Sin recargos
@avila_rayosx
Estamos en el Sotano 2
direcciononcologica@avilarx.com
aquintero@avilarx.com
mmejias@avilarx.com
0212 - 276.14.45
0212 - 276.10.33
Lunes a Viernes
8 AM - 5 PM
Estamos en el Sotano 3
direccion@avilarx.com
unidaddelamujer@avilarx.com
.
0212 - 276.10.37
0212 - 276.28.47
Lunes a Viernes
8 AM - 5 PM
@unidad_delamujer
Estamos en el Anexo A - Piso 6
quimioavila@avilarx.com
aquintero@avilarx.com
mmejias@avilarx.com
0212 - 276.28.82
.
Lunes a Viernes
8 AM - 5 PM